Chest Wall "Pectus" Conditions
There exists a wide range of clinician awareness about the choices and priorities in the care of pectus conditions. We can help clarify the what, the why and the what next.
What are the questions?
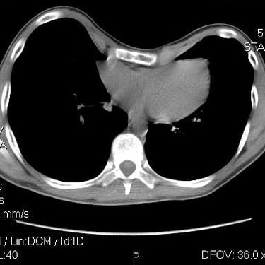
Pectus conditions are loosely divided into those where the chest points outwards, known as pectus carinatum (or less commonly, thankfully, "pigeon chest"), and where the chest dips inwards, known as pectus excavatum (or "funnel chest"). They are often physiologically entirely benign, with consequences limited to body image (especially in adolescents). Sometimes they can reflect an underlying medical condition, including connective tissue diseases or genetic syndromes. On the other hand they may be associated with cardiac or respiratory compromise or even swallowing issues. It is important to screen for and consider these possibilities when deciding next steps.
What do you do?
Assessment begins with a thorough paediatric history and examination, focusing on evidence of underlying medical conditions, cardiorespiratory symptoms, other conditions that might explain these symptoms, and psychological impact. Underlying or comorbid conditions are investigated and treated, and we work with a comprehensive network of professionals to assess the physiological impact of chest wall variations, with tests including (but not limited to) computed tomography, echocardiography, lung function testing and cardiopulmonary exercise testing. Depending on the outcome of these we signpost to support groups such as Pectus Matters and refer for non-surgical (e.g. the Vacuum Bell) and surgical treatments (via the national MDT) where appropriate.
Should I be worried?
When you or your child notice something different about the shape of their chest you may be unclear as to what to do next. Does it matter? Does it bother you? Does it bother them? Should it? How do you answer those questions? What do you do once you've done so? You may find yourself at odds with your child, and indeed your doctor, regarding your level of concern. You may just need reassurance that there's no significant health risk, or you may need a steer regarding treatment options. As part of the National Pectus Excavatum Multidisciplinary Team I am ideally placed to help you navigate this minefield.




Feedback
Compassionate care for children's health needs.
CONTACT
Support
© 2025. All rights reserved.
